















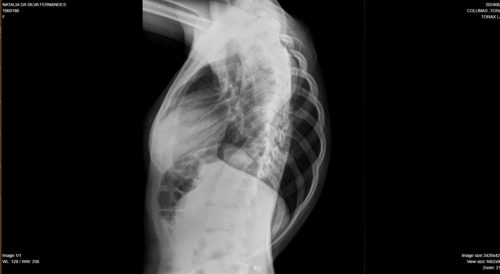
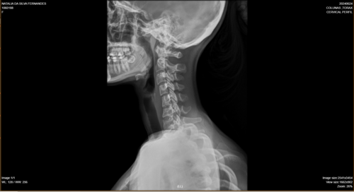
Olá, me chamo Natália da Silva Fernandes, tenho 21 anos, moro na cidade de Ji-Paraná, no estado de Rondônia. Fui diagnosticada com escoliose e venho na busca de um tratamento pelo SUS há um tempo, mas não obtive retorno até o presente momento. Passei por algumas consultas com ortopedistas do SUS, peguei encaminhamentos para passar com um neorocirurgiao e depois de um longo período de espera, consegui uma consulta com um neorocirurgiao do SUS, quando ele viu meu estado de saúde ele disse q a única solução é fazer a cirurgia, como na cidade não tem estrutura para realizar a cirurgia através do SUS, peguei mais um encaminhamento para consultar pela segunda vez por outro neurocirugiao, mas na cidade de Porto Velho, e nisso fiquei no aguardo desse agendamento mas até o momento nenhum retorno do SUS, ou seja, nenhum pedido de agendamento de cirurgia, apenas consultas, é um processo burocrático conseguir uma cirurgia pelo SUS, pois tem uma lista de pacientes na espera por vaga. Devido à demora do SUS , recorri a um neurocirurgião particular e o diagnóstico que recebi foi o mesmo, necessito fazer a cirurgia com urgência.Atualmente, me encontro num quadro doloroso, minha escoliose está com 86° de encurvatura, sinto dores constantes, tenho dificuldade em andar e às vezes dificuldade em respirar, porque são dores muito fortes. Para dormir, é uma luta constante para achar uma posição que dê menos desconforto . Diante de todo esse processo doloroso, e todo o tempo que venho recorrendo ao SUS e não obtendo uma solução favorável, a preocupação aumenta cada dia, pois não tenho condições de custear nem a cirurgia, nem o tratamento pós-cirúrgico. Foi então que surgiu a solução de fazer a vaquinha. A cirurgia fica em média de 250 mil reais com o tratamento pós-cirúrgico. Deixo na descrição os laudos e exames que venho realizando como transparência da minha situação.Toda ajuda é bem-vinda!Ajude-me compartilhando em suas redes sociais. Deixarei minha rede social para entrarem em contato comigo para mais informações: @_fe3_n47ou acesse o link abaixo e vá direto ao meu perfil.https://www.instagram.com/_fe3_n47?igsh=MXA1bDEzNW53YzZ5NA==