
Olá, meu nome é Wesley de Souza Martins.
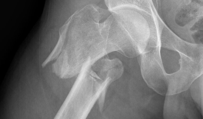
Recentemente sofri um acidente de moto que resultou em uma fratura grave no colo do fêmur – uma lesão que mudou completamente a minha rotina. Precisei passar por uma cirurgia de urgência e agora estou enfrentando um longo processo de recuperação, fisioterapia e reabilitação.
Infelizmente, esse acidente me afastou do trabalho e me deixou sem condições de arcar com os custos do tratamento, deslocamentos, medicamentos, sessões de fisioterapia, alimentação adequada e outras despesas básicas do dia a dia.
Estou criando essa vaquinha com o coração aberto, pedindo a sua ajuda. Qualquer valor, por menor que seja, faz toda a diferença neste momento tão difícil da minha vida.
Se você não puder contribuir financeiramente, compartilhar essa vaquinha já é uma grande ajuda!
Desde já, agradeço de coração a todos que puderem contribuir de alguma forma. 🙏