
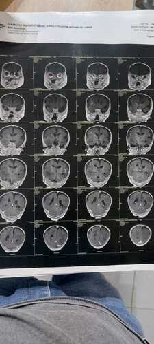
No dia 05/01, nossas esperanças de uma cirurgia e de uma recuperação quase plena para o Rafinha foram profundamente abaladas.
A nova ressonância mostrou que os dois lados do cérebro não se desenvolveram, o que infelizmente torna a cirurgia impossível.
Esse foi um baque enorme para nós como família. Mas não foi o fim da luta.
Agora, o caminho é outro: tratamento contínuo, terapias intensivas e acompanhamento com os melhores profissionais possíveis, para que o Rafinha tenha o máximo de desenvolvimento, conforto e qualidade de vida dentro da realidade dele.
Além das terapias, o Rafinha precisa de equipamentos adequados. Um carrinho especial, essencial para o conforto, postura e dignidade dele, custa cerca de R$ 20.000.
Por isso, pedimos a sua ajuda.
Cada contribuição, cada compartilhamento, nos aproxima de oferecer ao Rafinha cuidado, conforto e dignidade.
O Rafinha precisa de todos nós.
E nós agradecemos de coração por qualquer apoio.
----
💙Pessoal, ontem (04/12) descobrimos que o caso do Rafinha se agravou.Ele vai precisar remover o quanto antes metade do cérebro — a parte direita — para ter reais chances de viver.Essa cirurgia precisa acontecer no máximo nos próximos 3 meses.
Pelo SUS, ele aguardará no mínimo mais de um ano na fila, e no particular os melhores especialistas não atendem pelo convênio.
Por isso, pedimos ajuda: nos ajudem a realizar a cirurgia em janeiro.Seja doando o valor mínimo ou simplesmente compartilhando, qualquer gesto aproxima o Rafinha da chance de continuar lutando.
💙 Hoje o Rafinha tem 11 meses.Apesar de toda a força e vontade de viver, ele enfrenta grandes desafios no desenvolvimento:
Cada pequena conquista é uma vitória imensa — e cada dia é uma luta por mais autonomia, mais descobertas e mais esperança.
🙏 Precisamos do seu apoio para seguir garantindo os tratamentos, terapias e estímulos que podem mudar o futuro do Rafinha.Com a sua ajuda, ele pode dar passos que hoje ainda parecem distantes — mas estão ao alcance com amor, cuidado e solidariedade.

🧡 A história do Rafinha — e por que ele precisa de você

O Rafinha é o nosso bebê. Tão pequeno… e já tão guerreiro.
Com apenas 2 meses e 28 dias, ele teve sua primeira convulsão. Daí em diante, nossa vida virou de cabeça para baixo: uma maratona de exames, internações e consultas até chegarmos a dois diagnósticos raríssimos:
🧠 Hemimegalencefalia parcial direita🧠 Displasia cerebelar direita e atrofia cerebelar esquerda

Essas condições afetam diretamente o desenvolvimento, o equilíbrio, a coordenação e causam crises frequentes. É como se o cérebro do Rafinha o travasse por dentro.
Hoje ele tem apenas 5 meses — e já passou por 4 internações, uma delas para tratar a Síndrome de West, que agrava ainda mais o quadro. Nesta última, já são mais de 17 dias dentro do hospital, sem previsão de alta.
⚕️ O que o Rafinha precisa
O tratamento do Rafinha é para a vida toda. Vai muito além de medicamentos e internações: envolve terapias diárias, estímulos precoces, equipamentos, especialistas e acompanhamento constante. Cada etapa é fundamental para que ele tenha chance de se desenvolver, brincar, aprender e ter qualidade de vida.
Mesmo com os pais empregados, os custos ultrapassam em muito qualquer possibilidade de sustento apenas familiar. É um cuidado especializado, longo e caro — mas que pode transformar a vida dele.
A meta foi calculada para garantir anos de tratamento contínuo, acesso às melhores terapias e também para estar preparado caso seja necessário realizar, além de todo esse cuidado, ao menos duas cirurgias particulares de remoção de parte do lado direito do cérebro — procedimentos de altíssima complexidade que podem mudar o futuro do Rafinha.

🙏 Como você pode ajudar
Cada doação, cada compartilhamento e cada oração fazem diferença. Se cada pessoa doar um pouco — R$ 5, R$ 10, R$ 20 — e compartilhar, a corrente cresce.
O Rafinha é só um bebê. Mas com sua ajuda, ele pode ter um futuro com dignidade, cuidado e esperança.
De coração, muito obrigado.Rafinha e família.

