











A história do Guilherme Nonato
Guilherme Nonato, 37 anos, sempre foi um trabalhador dedicado. Ele atuava como zelador de fazenda e sustentava sua vida com muito esforço e honestidade. Porém, tudo mudou quando ele sofreu um acidente de trânsito que transformou completamente sua rotina.
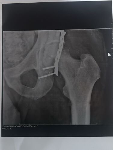
No acidente, Guilherme teve uma fratura gravíssima no acetábulo — uma lesão rara e de alto risco. Ele precisou ser encaminhado com urgência para Governador Valadares, onde passou por duas cirurgias complexas. Apesar de toda a luta e cuidado, o resultado dessas intervenções o deixou impossibilitado de andar.
Com muita força e determinação, Guilherme iniciou sessões de fisioterapia, buscando recuperar seus movimentos. No entanto, uma complicação cirúrgica inesperada interrompeu esse processo e trouxe uma nova e difícil realidade: sem uma prótese específica, ele não conseguirá voltar a andar.
Essa prótese, juntamente com as despesas médicas e o tratamento necessário, custa R$ 60.000,00 — um valor inacessível para Guilherme, que hoje não tem condições financeiras de arcar com esse procedimento por conta própria.
Nosso objetivo é unir pessoas dispostas a ajudar, para que o Guilherme tenha a chance de recuperar sua mobilidade, sua independência e sua dignidade. Cada contribuição, seja qual for o valor, representa um passo em direção ao retorno dele à vida normal e ao trabalho que sempre exerceu com tanto empenho.
Hoje, além da limitação física, Guilherme enfrenta dores intensas diariamente. Mesmo sob efeito de medicação forte, ele ainda sofre, não consegue andar e já não consegue realizar suas atividades básicas sozinho.
A prótese representa não apenas a chance de voltar a caminhar, mas também a possibilidade de aliviar esse sofrimento constante.
Se você puder colaborar, estará fazendo parte da reconstrução da história do Guilherme.
Ajude como puder. Compartilhe. Faça parte desse recomeço.