
Essa é a Honda, foi encontrada no parachoque do carro com os olhinhos fechados ainda e com o cordão umbilical. Recebeu todos os cuidados e junto com alguns amigos essa mocinha sobreviveu.
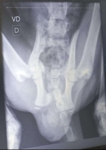
Massss, sofreu uma queda no dia 01.02, no dia que completou 3 meses aproximadamente, sofreu uma fratura e precisará passar por cirurgia.
Abaixo segue o valor gasto no pronto atendimento para diagnostico

Nesses valores abaixo constam parte dos cuidados de pré-cirurgico, de internação e cirurgico

Estou colocando um valor a mais por conta de taxas a serem descontadas e para uma forcinha no pós-cirúrgico.
Toda e qualquer ajuda é muitoooo bem vinda e mesmo que seja só divulgando a vakinha ja me sinto extremamente grata.
A Hondinha agradece muitooo tb.
Abaixo seguem as radiografias

