


Lorenzo está passando por um momento muito delicado, estou fazendo de tudo para salvar a vida dele, apresenta sangramento quando se alimenta constantemente, e pelo fato a anemia não melhora, foi descoberto dia 24/06 que esta com tumor na mandibula direita, esta passando por consulta com oncologista na UNICEP em São Carlos, tera que fazer raio x do torax, biopsia, e passara por Eletro quimioterapia para tratamento do tumor.
Entre outros exames e medicamentos que precisa ser feito. Segue o laudo do raio x realizado e imagens.
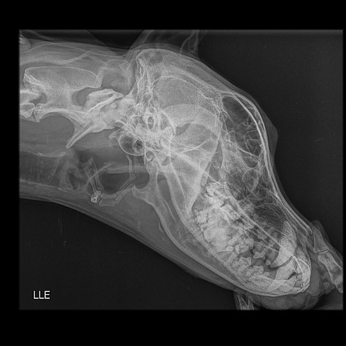
LAUDO REFERENTE O RAIO X REALIZADO
Nome: LORENZO
Acompanhante do Exame: ERICA
Veterinário: MARIANE SANTEZI
Clínica: HOSPITAL VETERINÁRIO UNICEP
Espécie: CANINA
Idade: 7 anos 0 meses
Data: 24/06/2020
Achados são correlacionados:
Região: CRÂNIO
Radiografias em projeções: LATEROLATERAL ESQUERDA E DORSOVENTRAL
- Nota-se discreta proliferação óssea no aspecto ventral e medial da porção média/caudal do ramo
horizontal da mandíbula direita;
- Discreta opacificação da cavidade nasal direita;
- Cavidade nasal esquerda preservada;
- Septo nasal mantido;
- Osso nasal e frontal preservados;

- Preservação das articulações temporomandibulares;
- Em incidência dorsoventral, imagem que sugere opacificação das bulas timpânicas;
- Condutos auditivos externos sem sinais de alterações;
- Nada mais digno de nota na região em estudo, pelas incidências realizadas.