
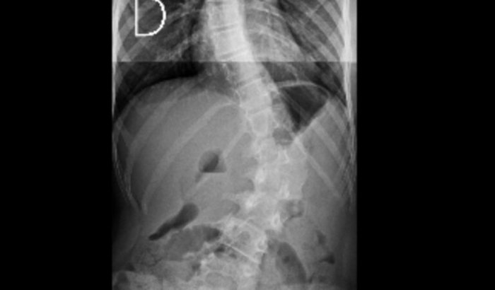
Oii criei essa vaquinha pois minha filha Heloísa foi recentemente diagnosticada com escoliose em graus avançados, precisando urgentemente de tratamento para que uma cirurgia de risco e complexa seja evitada.A Helo tem 13 anos, estuda, vai a igreja e brinca com as amigas. Recentemente recebemos o diagnóstico de escoliose na coluna dela, os graus já são preocupantes. Em uma primeira opinião médica foi recomendado uma cirurgia para a colocada de 26 pinos aos longo da coluna, para então ter uma melhora de 50% do problema. Já em uma segunda opinião, essa de um especialista de São Paulo, foi recomendado o uso de colete para uma porcentagem maior de melhora.
O custo deste tratamento fica entre 10.000,00 e 15.000,00 incluindo os custos de ida e vinda já que moramos em sc e teremos que ir a SP.
Peço a ajuda de vocês para que minha filha não precise passar por cirurgia pois seria de risco e sem certeza de melhora.