
Olá a todos,
Estamos criando esta vaquinha para ajudar meu irmão, Maicon Felipe de 32 anos em uma batalha que começou de forma inesperada. No último dia 31 de dezembro
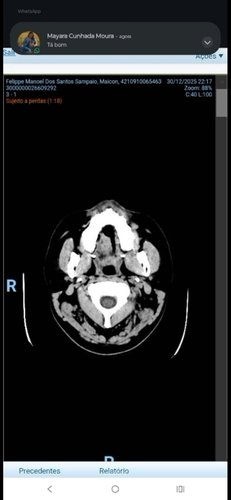
de 2025, enquanto o mundo celebrava a virada de ano, nossa família recebeu a notícia mais difícil de nossas vidas: o Maicon foi diagnosticado com um tumor no cérebro.
O diagnóstico veio após. "fortes dores de cabeça" mal estar perda de peso e desde então estamos correndo contra o tempo. O Maicon é uma pessoa alegre, trabalhador, pai dedicado, e sempre esteve pronto para ajudar a todos. Agora, é ele quem precisa de nós.
Como ele descobriu .há dois meses ele sentia forte dores de cabeça foi ao médico mas nenhum medicamento ajudava contra as dores Foi então que o médico pediu um exame específico uma tomografia é ali foi diagnosticado uma massa (Um tumor ) no cérebro no mesmo momento ele já foi internado no hospital local conseguiu uma vaga em um outro hospital no conjunto hospitalar Mandaqui zona norte de São Paulo e até o momento ele encontra internado esperando uma possível cirurgia peço ajuda de todos com qualquer valor para ajudar ele e a família Maicon é um homem trabalhador mas não trabalha de carteira assinada Ele trabalha por dia e recebe por dia por esse motivo Ele está internado e não conseguir trabalhar precisa mais ainda de nossa ajuda peço encarecidamente que nos ajude nesse momento difícil Deus abençoe

