
Por favor, ajudem meu Luck
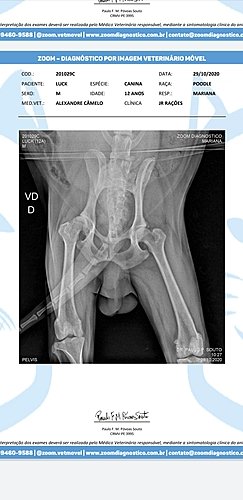
Luck é meu cachorro a 12 anos, até dia 27/10 ele tava andando normal, fomos passear de manhã, mas de tarde ele perdeu a força nas patinhas traseiras, levei ele no veterinário Alexandre dia 28/10 e ele passou 2 medicamentos prediderme 20mg (38,80)e cronidor 12mg 2x ao dia por 20 dias que dá 2 caixas com 10 comprimidos (2x 59.90) e um raio x (200,00), todos esses já comprei e ainda preciso pagar + consulta (70,00). Fora isso, depois que saiu o resultado do raio x alexandre passou o tratamento pra 2 meses com o remédio Gerioox 2 Comprimidos por dia, que dá 4 caixas de 30 comprimidos pra os 2 meses, as 4 caixas são (425,12) + 75,00 (Seniox) + 71,90 (Milgama- esse será pra o resto da vida). A conta total disso fica em 1.001, 00. Dinheiro que foge muito do meu orçamento, me encontro totalmente seNm saber o que fazer e pedindo a vocês qualquer contribuição. É muito doloroso ver ele da forma que está pois ele sente muita dor, não anda devido a isso e tem dificuldade pra defecar porque é uma região proxima que ao fazer força pra defecar doi as articulacoes também e tudo isso tem como melhorar se eu conseguir seguir o tratamento. Preciso muito da ajuda de vocês, eu nem sei como agradecer, quem não puder doar, compartilha, vai ajudar muito. Eu quero muito que meu bichinho fique bem, o Veterinário disse que ele pode voltar a andar e não sentir dor. Muita gratidão a quem ajudar seja de que forma for. Muita gratidão, mesmo.
Meta (1.001,00 + 64 de taxa da vakinha= 1.065,00)
*** Quem preferir depositar na conta de banco fala comigo pelo wpp: 81 985630517
***Podem falar comigo por wpp pra maiores esclarecimentos também
*** Vou anexar fotos do diagnóstico, dos preços de remédios e etc.







