
COMPARTILHEM, POR FAVOR.

Oi, aumigos!
Me chamo Sofia. Recebi esse nome em 01/07/2023, quando fui resgatada por duas tias que me viram na rua chorando e com a patinha traseira sem encostar no chão. Vou contar a minha história para vocês.
Nasci há aproximadamente seis meses e estava morando na rua até então com minha mãezinha e meu irmãozinho. Na verdade, fui adotada e devolvida para as ruas, pois sou uma criança arteira e coloquei a minha boquinha nos móveis da minha antiga família.
Minha mãezinha não me contou quantos irmãos eu tive, mas sei que um faleceu, outra foi adotada por uma família incrível e eu, meu mano e minha mamãe fomos deixados na rua.
Eu estava me alimentando de lixo, restos de comida e às vezes recebia ração de algumas pessoas.
Como eu disse, sou muito arteira e ativa, adorava ficar correndo pelas ruas com meu irmãozinho. Por isso, no dia que fui resgatada, as tias pensaram que eu tinha sido atropelada. Então elas me levaram para um hospital de animais para eu tratar a minha patinha e não sentir mais dor.
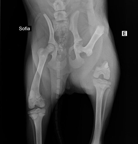
A primeira tia veterinária que me avaliou no dia 01/07, verificou através de exames de raio-x que eu estava com uma fratura muito feia na minha patinha traseira e disse que eu estava com muita dor. Ela falou que eu teria que ficar internada para tomar medicação e possivelmente realizar uma cirurgia na patinha. Além disso, com o resultado do exame de sangue, foi constatado que eu estava com anemia e alterações hepáticas.
No dia 03/07 tive uma consulta com o veterinário ortopedista e ele disse que aquele dodói não era uma fratura de atropelamento, e sim de ESPANCAMENTO. Ele também falou que eu precisaria fazer uma cirurgia para colocar implantes no ossinho da minha patinha e para a amputação da cabeça do fêmur. A tia que me resgatou perguntou ao ortopedista se eu ficaria com algum problema de mobilidade e ele disse que não devo ficar, mas que o ideal é eu fazer fisioterapia pós operatória.
Em 05/07 fiz a minha cirurgia e deu tudo certo. Segundo o ortopedista cirurgião, devo ficar em repouso até consolidar a fratura da patinha. Ele disse que não posso ficar pulando, affff!! Ninguém merece, né!! Mas tudo bem.
Recebi alta da clínica veterinária em 07/07 e fui para a casa de uma das tias que me resgatou para que eu possa me recuperar 100%. As tias já agendaram uma consulta com o veterinário fisioterapeuta para a próxima semana e em breve começarei as sessões.
Quero me recuperar logo para poder ter uma família que me ame e me trate como a princesa que sou. Não quero mais morar nas ruas e ser espancada por pessoas ruins. Quero ter comidinha todos os dias e uma caminha quentinha. Gostaria que meu irmãozinho e minha mamãezinha também tivessem essa oportunidade. Assim que eu estiver saudável, as tias vão tentar encontrar casinhas amorosas para mim e minha família canina.
Acredito que o pior já passou, mas agora vem mais uma parte chata, a parte que preciso pedir ajuda a vocês. As tias que me resgataram estão gastando muito dinheiro com o meu tratamento. Na verdade, estão pagando as contas da minha internação, cirurgia e remédios no cartão de crédito, ou seja, elas não têm esse valor agora e tentaram parcelar o máximo que puderam. Porém, no dia 02/08 elas terão que pagar a fatura do cartão. Até o momento, elas já gastaram mais de R$ 4.800,00. Sim, muito caro, né? E acredite, elas vão gastar ainda mais, pois precisarei fazer as sessões de fisioterapia.
Sendo assim, gostaria de pedir a colaboração de vocês nesta vaquinha para que as tias consigam continuar me ajudando a ficar saudável. Sei que se cada um doar um pouquinho, conseguiremos bater a meta.
A tia Paula colocou aqui no site os comprovantes, notas fiscais, laudos, exames e fotos para que minha história seja comprovada a vocês.
Se não puder ajudar financeiramente e quiser ajudar de outra forma, entre em contato com a minha tia Paula pelo Whatsapp (51) 993195177.
Você pode doar aqui pelo site da Vakinha através de cartão de crédito, PIX ou boleto.
Também pode fazer um PIX diretamente para a conta da minha tia ou transferência bancária.
Titular da conta: Paula Crespo Pessini
Chave PIX: (51) 993195177 – telefone celular
Conta Poupança
Banco: 041 (Banrisul)
Agência: 0050
Conta: 39.040139.0-0
CPF: 84812451000
Peço que também compartilhem esta vaquinha, pois sei que se ela chegar nas pessoas certas, logo teremos o valor para pagar o meu tratamento.
Minha tia também fez uma postagem no Instagram e no Facebook, agradeço se puderem compartilhar lá também.
Instagram: @pauletycp
Facebook: Paula Pessini
É isso, aumigos! Obrigada por ler até aqui e obrigada por toda a ajuda.
Em breve, abrirei a lista de espera para interessados na minha tão sonhada adoção! Aguardem!!
COMPARTILHEM, POR FAVOR.























