
Meu nome é Ingrid, sou mãe solo de dois autistas maravilhosos nível 1 e nível 3, Lorenna e Ethan.

Tinha uma empresa ao qual eu trabalhava, que por motivos de saúde e complexidade do transtorno autista do Ethan, foi necessário encerrar a atividades.
Em diante, passei a me dedicar exclusivamente para a criação da Lorenna e do Ethan, e para as rotinas médicas diante do meu quadro de Doença de Graves (distúrbio autoimune que faz a tireóide funcionar em excesso, fazendo com que os órgãos trabalhem em excesso, ocasionando o “cansaço” dos órgãos levando-os a falência). Em 2024 fui internada com um quadro de falência renal aguda, e graças ao Deus, Todo poderoso, saí curada para cuidar dos meus filhos.
Ambos os pais pagam uma pensão de R$455 do Ethan e R$513 da Lorenna, que infelizmente foi o máximo que consegui junto à justiça, e o benefício Bolsa Família ao qual consegui diante da minha situação financeira.
A jornada com os meus filhos é longa e nunca desistirei de cuidá-los, independente do meu quadro.
Lorenna tem autismo nível 1, distúrbio do sono, hiperatividade e em investigação de TDAH, com 7 anos de idade.
Ethan tem autismo nível 3, hiperatividade e osteonecrose da cabeça femural, com 3 anos de idade.
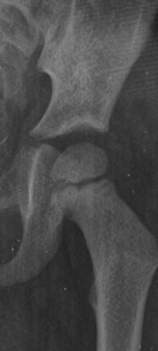
Ethan tem tido episódios frequentes de dor, claudicação (o ato de "mancar"), sem conseguir pisar no chão com a perna esquerda, e começamos as idas até o Pronto Socorro frequentemente, saindo de lá sem saber o que ele poderia ter. Dores intensas na perna esquerda que iniciam pela madrugada, impedindo de pisar no chão e chorando muito, e com a frequência das crises os remédios antinflamatórios passaram a não fazer mais efeito.
Diversos raios x sem incidência de fraturas ou luxações, porém, com uma lesão na cabeça femoral em formato V, indicando já no raio x a cartilagem soltando devido à necrose e o impacto do osso femoral com o quadril.


No último episódio, o médico plantonista do Pronto Socorro de Balneário Pinhal/RS tentou transferir o Ethan para o Hospital de Tramandaí/RS na área da ortopedia, mas o ortopedista recusou por não ser fratura, mas em conversa com o médico plantonista ele disse que o raio x não estava com um bom resultado e que o diagnóstico dele era “Osteonecrose da Cabeça Femoral”, e que era para ele iniciar imediatamente o uso de cadeira de rodas para o máximo de preservação do osso femoral, pois a osteonecrose da cabeça femoral é quando não há irrigação sanguínea na cabeça do fêmur, então inicia-se a necrose da cabeça do fêmur, levando a dores intensas, desgaste do osso, e que se estiver já gasto (nível 3 ou 4), o único tratamento seria uma cirurgia de prótese.
A suspeita do meu filho inicialmente era Displasia de Quadril, porém recebi já esse diagnóstico na hora com o meu filho nos braços. Agradeci imensamente, pois ao menos dali teríamos uma suspeita sólida, sendo corrigida pelo médico de que era sim o diagnóstico do meu filho e não só um suspeita, por conta das crises e o teste FABER (quando manuseia a perna e descobre onde inicia-se a dor, sendo exatamente entre a junção do fêmur com o quadril), que o ortopedista era experiente na área e que eu precisaria me preparar para uma grande luta pela frente.
Dali saí arrasada, e pesquisando sobre a doença todos os sintomas eram iguais aos que o Ethan tem.
Então, me direcionei a secretaria de saúde da cidade em que moro (Palmares do Sul/RS), tendo eles visto a urgência do caso do Ethan, marcaram uma consulta de encaixe no posto de saúde, que é o responsável por encaminhar e dar o devido tratamento aos pacientes.
E três dias depois, a secretaria da saúde, com o CRAS enviaram uma cadeira de rodas para que ele preserve o máximo possível o fêmur em repouso, para evitar a recorrência de crises de dor, e o desgaste da cabeça do fêmur, que desgastado causa sequelas irreversíveis para toda a vida do Ethan.
Não foi fácil aceitar que meu filho precisaria de uma cadeira de rodas, mas foi necessário aceitar o que, nesse momento, preciso passar, pois acredito que Deus estará sempre comigo em todas as batalhas que eu tiver que enfrentar, e que com Ele eu receberei a vitória, e agora não será diferente.
Não é fácil lutar batalhas sozinha, como mãe solo, graças a Deus tenho o apoio da minha família, mas que tem as suas comorbidades também (tenho um irmão deficiente físico e com envio grave de coluna, ajudam no que é possível, mas todos tomam medicações para trataments de diversas comorbidades), e muito menos sendo mãe solo atípica, mas é necessário, e acredito que isso passará e que o Ethan conseguirá ser forte e vencer esse desafio na vida dele também.
Na consulta com o posto de saúde, o médico explicou que a ultrassom era um exame de imagem que mostraria alguns sinais, mas que era necessário uma ressonância magnética para mostrar com nitidez o grau da necrose na cabeça do fêmur para decidir o tratamento, até onde estava necrosado e como está a cabeça do fêmur com detalhes, para verificar se há desgaste e o grau do desgaste ósseo.
Acontece que, uma vez que não há irrigação sanguínea na cabeça femoral (que o médico explicou que pode haver uma doença causadora, mas que no caso dele parece ser somente o histórico familiar paterno), não há solução para que o sangue volte a irrigar, tornando a doença, infelizmente, SEM CURA, somente com tratamentos que não são todos encontrados no SUS e custam caro, como:
Então foram marcados exames de sangue (para verificar se há uma condição pré existente que está causando essa falta de circulação), um exame de ultrassonografia coxo femoral, para ver o que aparece nesse exame, além disso, ocorreu a tentativa do médico de abrir pedido de ressonância magnética para o Ethan, tem a “negativa do poder público” pelo fato do Ethan não ter idade mínima para fazer esse exame pelo SUS, pois o Sistema Único de Saúde só realiza em crianças à partir de 6 anos, eu posso abrir o processo e pedir autorização judicial para a realização do exame, mas o médico já adiantou que não será fácil e nem rápido, e o Ethan não pode esperar esse tempo, visto que a doença afeta a terceira idade, e o Ethan está apresentando essa doença já na infância.
A vakinha virtual foi criada para cobrir os custos de um plano de internação particular, com exames de sangue e de imagem, e início do tratamento no hospital referência , incluindo a ressonância magnética que custa R$6.345,00 mil reais com sedação, contraste e todo o quadril, devido a idade dele. Infelizmente só há 2 hospitais que fazem a ressonância no meu filho, mes pagando, que é o Hospital Moinhos de Vento e o Hospital Santo Antônio da Criança, com o ortopedista pediátrico, fisioterapia após os procedimentos (fisioterapia será para toda a vida dele) - a osteonecrose da cabeça femoral até o nível 2 é tratada com procedimentos em internações hospitalares, com aplicação de líquidos para manter a cabeça femoral irrigada preliminarmente para ganhar tempo até que a equipe médica ortopédica construa um plano de tratamento melhor e eficaz para o paciente, são diversos procedimentos que serão feitos durante muito tempo, pois é necessário verificar o funcionamento, pois uma vez que não há irrigação sanguínea, é uma doença sem cura e extremamente dolorosa - transporte, alimentação, calçados ortopédicos, produtos ortopédicos, itens adaptáveis para cadeira de rodas e tudo o que torne o mais confortável possível para o Ethan neste momento, pois ele é autista e é necessário que faça todos os procedimentos em internação, também diante da urgência, para iniciar o tratamento o mais rápido possível, Ethan é uma criança que quer brincar, e infelizmente não pode como as outras crianças, e que ainda lutamos contra o tempo para que ele não tenha sequelas irreversíveis no futuro e em toda a sua vida.
Então, nosso primeiro passo no momento é realizar a ressonância magnética, que diante da idade do Ethan, o local do exame precisa ter uma UTI Pediátrica, pois é um exame muito complicado para uma criança tão pequena, e uma atenção a saúde devido às medicações. Conforme é doado vamos avançando para os próximos passos 🥹🙏🏾❤️


Comprovando o motivo da negativa de outros hospitais, mesmo o exame sendo particular:


O diagnóstico final é apenas uma questão burocrática, e a ressonância é para a definição do grau e as aderências da necrose na cabeça do fêmur, o diagnóstico é mais clínico do que ortopédico, e infelizmente a doença é DEGENERATIVA e NÃO TEM CURA, só a prótese e ele não tem idade indicativa pra fazer porque ainda é criança e está crescendo, se afetar a mobilidade extrema, ele pode fazer a cirurgia de prótese, mas depois terá que trocar conforme cresce, e antes da prótese, serão diversos procedimentos e exames, laudo:

Medicação atual para controle da dor:

Além disso, vamos personalizar a cadeira de rodas do Ethan, para dar um pouco de cor e alegria para ele que tem uma batalha longa pela frente diante dessa doença, mas eu creio que ela não será maior que a nossa força de vontade de fazê-lo feliz! 😊🥰
Ethan e Lorenna são filhos maravilhosos, apesar de tudo, aprendi a aceitá-los e amá-los como são, afinal, batalhas especiais, são para pessoas especiais 💖
Ethan gosta de andar de bicicleta, joga futebol desde o primeiro ano de vida, tem estereotipias com dancinhas engraçadas, ama fazer travessuras, tem amor incondicional por animais, gosta de praia e tem um cabelo loiro longo que se recusa a cortar 😂 como dizemos aqui: nosso surfista favorito 🥹🤗
Medicações que o Ethan faz uso:
Estarei sempre atualizando tudo sobre o Ethan, se você está disposto a entrar comigo nessa batalha - que não será fácil e nem rápida, mas que com fé e a sua contribuição venceremos - faça a sua doação, qualquer ajuda é bem-vinda desde que feita primeiramente com o coração ❤️
Dá uma conferida nas fotos para conhecer essa fofura que se chama Ethan 🥰😇 e claro, nos laudos médicos que ele tem falando sobre o autismo e a osteonecrose 🦵🏾🩺🧸, sua contribuição é extremamente importante, conto com você para que o Ethan possa talvez voltar a correr, brincar e ter a sua vida normal novamente e que Deus abençoe a todos nós 🥹🙏🏾❤️













