
"Olá a todos!
Meu nome é Graziele, e venho aqui pedir a ajuda de vocês para o nosso amado cãozinho, o Lupi.
O Lupi é um membro muito querido da nossa família e, infelizmente, ele sofreu um acidente grave e quebrou o fêmur.
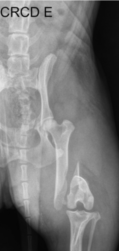
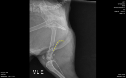
O Diagnóstico e a Dor
Levamos o Lupi a uma clínica especializada em Porto Alegre, e após exames e um Raio-X, o diagnóstico foi confirmado. Ele sente muita dor e o único alívio que tem tido é com doses fortes de Tramadol, um analgésico potente. É doloroso vê-lo dopado e sofrendo, sem a alegria de antes.
A Necessidade da Cirurgia
A única solução definitiva para que o Lupi pare de sofrer e volte a ter qualidade de vida é uma cirurgia ortopédica de emergência.



Anexamos na página o orçamento completo da clínica e o laudo médico. O custo total do procedimento, incluindo honorários, materiais e internação, é de aproximadamente R$1750,00
Nós, como pais do Lupi, não temos condições de arcar com esse valor sozinhos neste momento. Por isso, criamos esta vaquinha.
Como Você Pode Ajudar?
Toda a ajuda faz a diferença, seja ela financeira ou através do compartilhamento desta história.
Transparência e Gratidão
Assim que o valor for atingido e a cirurgia for realizada, postaremos aqui todas as notas fiscais e o laudo pós-operatório, além de fotos do Lupi se recuperando.
Contamos com a solidariedade de vocês para o Lupi voltar a ser aquele cãozinho querido, pinposo e cheio de vida que todos amam.
Doem um lambeijo de cura para o Lupi!
Com carinho,
Grazi, Rafa e Lupi. 🐾"