
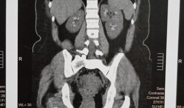
Eu sou Alice, tenho 27 anos venho aqui nessa vaquinha pedi pra vocês me ajudarem numa cirurgia de rins que preciso fazer urgente, pois tenho cálculos renais e neofraucalcinose (depósito de oxalato de cálcio ou fosfato de cálcio no parênquima ou túbulo renal) estou sofrendo com isso a quase um ano, e o pior de todo que todos os dias sinto dores horríveis que preciso ir no hospital tomar remédios na véia, venho aqui desesperada pedi a ajuda de vocês. Pois não tenho cond ções de realizar essa cirurgia, e pelo SUS está sendo difícil até encontrar médicos pra atendimento, por favor me ajude nesse obstáculos. qualquer valor simbólico á é de grande ajuda. Obrigada e fiquem com Deus 🙏