
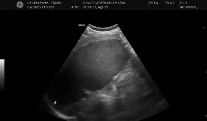
Eu sou Junior(Dedek0), vivo em Portugal há dois anos, vim realizar um sonho de mudança de vida e estou na luta disso, desde que cheguei, criei um canal no YouTube para mostrar minha rotina, que é o @umbrasileironoporto, no primeiro dia do mês de novembro desse ano eu estava voltando da academia e senti uma sensação de quase um desmaio, tontura, suando frio, calafrio, e desde esse dia não fiquei bem, essa mesma situação já tinha acontecido comigo em 2020, mas nunca descobri oque era porque após um tempo eu voltava ao normal, só que decidi investigar a fundo dessa vez, fiz muitos exames aqui em Portugal, pois não estava conseguindo trabalhar, devido a tontura, vista embaçada e mal estar, e quando cheguei na ecografia do abdômen, descobri um cisto de 20cm no baço, algo que nem passava por monja cabeça, já estou quase um mês sem trabalhar, e sem previsão de voltar, pois estou com a tontura e visão embaçada impossibilitando trabalhar, ja que trabalho como motorista de app aqui em Portugal, estou em outro país longe da família, gastei praticamente tudo que consegui juntar pra fazer os exames, agora estou parado sem trabalhar, sem ter como pagar nada, e sei que infelizmente o hospital público pode demorar muito aqui pra fazer outros exames que vão ser necessários antes da cirurgia, e essa vakinha é pra eu conseguir pagar tudo nesse período e tentar agilizar ao máximo alguns exames no particular, pois apesar de tudo e um cisto muito grande e que preciso retirar o mais rápido possível, sei que nao tenho condicoes de fazrr a cirurgia no particular, mas espero contar com ajuda da famlia, dos amigos, conhecidos e todas pessoas de bom coração que queira ajudar, tem sido uns dos piores dias da minha vida, nao estava preparado para isso e acho que ninguem nunca esta, mas gracas a deus e um cisto e nao nada pior, não tá sendo fácil, eu ainda estava tentando me organizar aqui e isso me deixou totalmente sem rumo, atrasou tudo e ainda destruiu meu psicológico, pois até sair o resultado só pensei o pior, vários dias tremendo sozinho, ansiedade a mil, venho pedir essa ajuda, pois sozinho não consigo, quero continuar com meu sonho e isso vai ajudar a vencer essa batalha, pois sei que vai ser uma, doe se seu coração quiser, e independente de tudo torçam por mim, ja me considero muito sortudo por ter sido um cisto(mesmo sendo algo nao tao simples tb)
*vou atualizando as imagens dos exames.
