
Aos 19 anos de idade ,trabalhava em fabrica de confeções , e ao mesmo tempo servia o tiro de Guerra .
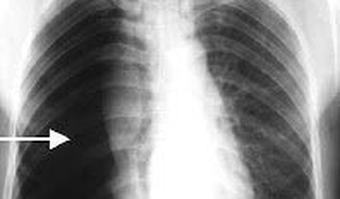
Depois da minha formação do TG tive uma má sorte na vida , conheci uma doença chamada "Pneumotórax Expontâeno" que ao sair de um banco , "Caixa Economica Federal" passei mal , começei a sentir muito dores forte no pulmao , e muito falta de ar , a sensação das vista escurecendo. Fui socorrido a tempo ...Quer saber mais? Assista o vídeo!
Bom , minha mãe é a unica que esta em condição ao trabalho , e mesmo assim é dificil a vida financeira fica bem complicada pra ela .
As veses costuma falta coisa dentro de casa, e isso me corta o coração sabe.
É, eu sei que nessa vida nada é por acaso , mas Deus tem uma grande obra em minha vida , e com esse testemunho que acabaram de ver.
Conto com ajuda de voces !! Qualquer valor é bem vindo !
Ajuda mesmo de coração !
Pois ,quero dar uma vida melhor pra minha mãe , mesmo estando nessa condições super dificil .
Agradeço desde ja!! E tudo em dobro pra voces!!
Ps: Ainda estou em impossibilitado de trabalhar , nao tenho condiçoes nenhuma , meu caso é serio e preciso da ajudas de voces !!!
Qualquer valor agradeço desde ja!!
Deus abencoe em dobro !!!
👇👇👇👇
https://youtu.be/2dXSs5I9RQw