
Olá amigos
Me chamo Raquel sou estagiária de psicologia, trabalho como Auxiliar de crianças autistas.
Realizo o estagio exclusivamente para pagar minha faculdade, estou no 9 período, ja na reta final, amo meu curso.
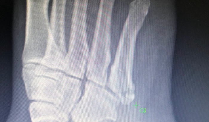
No final de abril sofri uma fratura “quebrou” o osso da base do quinto metatarso do meu dedinho.
Vou deixa a foto do meu Raio X.
Recebi o atestado de 30 dias, mas o estagio não cobre financeiramente esses dias.
Então não receberei pagamento em junho e não tenho como pagar o boleto da faculdade e da minha pós graduação.
Meus pais me auxiliaram como podem, com muleta, alimentação e medicações, dentre outras coisas.
Ficarei muito grata com quem poder ajudar com a quantia que poder, que deus possa lhe retribuir em dobro financeiramente e em saúde.
Vou deixa a vaquinha aberta ate dia 06/06. 💜