
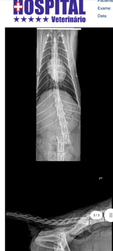
Olá eu sou a Maggie, estava correndo de outro gatinho que estava me incomodando no muro da minha casa, sofri um acidente pois cai do muro e estou precisando urgentemente de uma cirurgia para realinhar minha coluna que está com fratura Interna, já não consigo fazer minhas necessidades sozinha, perdi os movimentos das minhas perninhas traseiras, e todos os dias tomo tramadol de 12h em 12h para não sentir dor, já não posso fazer o que eu amo que correr e nem brincar mais😔
Minha mamãe conseguiu um cirurgião para me operar, mas preciso de ajuda para arcar com o valor da cirurgia e outras coisas necessárias para o pós!
Nos ajude compartilhando e doando qualquer valor símbolico, que Deus te abençoe e retribua em dobro!






