
Coletivo de mae para mae inicia hoje mais uma campanha linda e cheia de amor.
A giovana nos procurou para ajudar ela na sua cirurgia.
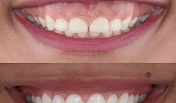
Desde crianca elá sofre de uma divisão nos dentes e gengiva muito grande.
Há alguns anos elá colocou aparelho e fez a cirurgia de redição de freio. Uma cirurugia dolorosa, difícil e para a surpresa dela fOi feita errada. A gio sofre com piadas e isso machuca a autoestima dela.
ha alguns anos tb a namorada do primo comecou a trabalhar como recepicionista do dentista da gio e num almoço de familia mostrou para todos fotos do tratamento e na mais pura maldade. A gio entrou em depressão e hoje busca ajuda.Quando a gi foi falar pro dentista elê ficou bravo e disse qué elá deveria ter procurado tratament antes e nao reclamar.
Vamos devolver a ela a autoestima?
Ela e a primeira de muitas mulheres que vamos ajudar nos tratamentos dentarios