
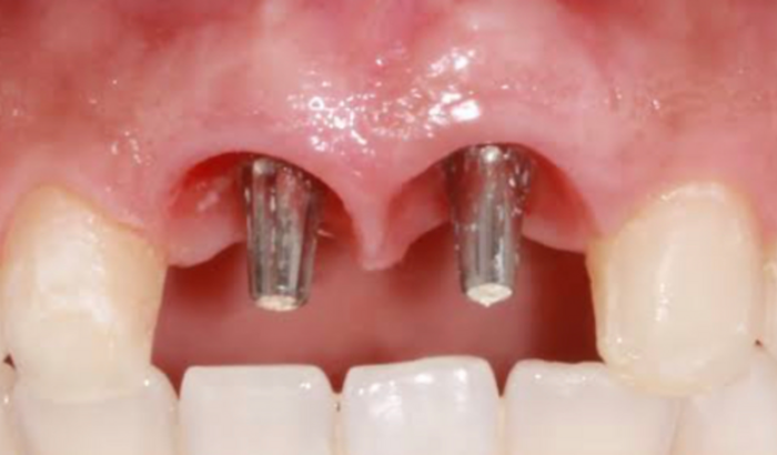
Uma amiga muito querida sofreu uma queda brusca doméstica e perdeu os 2 dentes permanentes da frente. Ela não está conseguindo sorrir, mal abre a boca e não sai mais de casa, pois é muito constrangedor o que está sentindo.
se você não pode ou não quer ajudar com a vakinha, ela sempre foi muito trabalhadora, então peço que compre Natura, Avon com ela, pois isso também ajudará a ter o recurso de R$7.000. O WhatsApp dela para fazer seu pedido, receber catálogo é: 19 98301-3155
ela tentou vaga no hospital da PUC São Leopoldo, mas infelizmente só no fim de março que teriam data para consulta, imaginem o implante.
Deus abençoe e multiplique em sua vida. 🤍