Como ajudar
Descubra
Como funciona
Ajuda para Cirurgia de Endometriose Profunda de Lohrane.
Saúde / Tratamentos

Ajuda para Cirurgia de Endometriose Profunda de Lohrane.

ID: 5785980
Olá! Meu nome é Vinícius Fernandes, e estou aqui para pedir a ajuda de vocês para a pessoa mais forte e importante da minha vida: minha esposa, Lohrane Ferreira.Há anos, a Lohrane enfrenta uma batalha silenciosa e exaustiva contra a Endomet ver tudo
Sobre
Atualizações
Quem ajudou
Vakinha Premiada
Selos recebidos
Perguntas e Respostas
Você pode ajudar via Pix usando a chave:
5785980@vakinha.com.brCopiar link
Vaquinha criada em: 29/10/2025

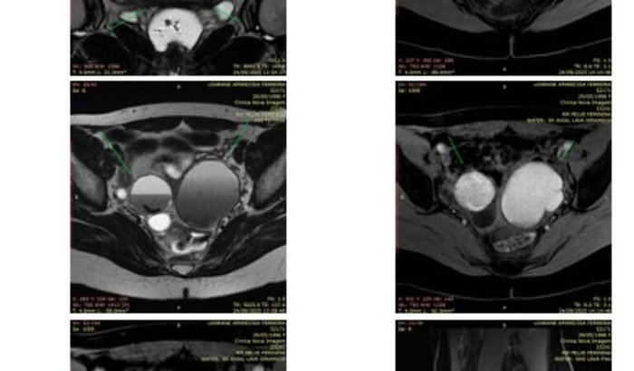
Olá! Meu nome é Vinícius Fernandes, e estou aqui para pedir a ajuda de vocês para a pessoa mais forte e importante da minha vida: minha esposa, Lohrane Ferreira.

Há anos, a Lohrane enfrenta uma batalha silenciosa e exaustiva contra a Endometriose Profunda. Esta não é apenas uma cólica forte; é uma doença inflamatória crônica que causa dores incapacitantes e fadiga constante.

O caso dela é urgente: o tecido da endometriose já se espalhou, afetando os ovários, e ela possui um cisto no ovário esquerdo medindo 6 cm. Recentemente, ela começou a sentir dor na perna esquerda, e ter dificuldades para andar, suspeitamos que está atingindo a região do nervo ciático. Essa condição está trazendo riscos reais para sua saúde e mobilidade.

Os dias da Lohrane são marcados por limitações. Ela mal consegue andar devido a dor na perna esquerda que começou, sente dores na relação. O diagnóstico é claro: a única maneira de curá-la e devolver sua qualidade de vida é através de uma cirurgia especializada e de alta precisão.

Infelizmente, o procedimento é complexo e de alto custo, e o tempo é crucial, pois a doença avança rapidamente.

Sua doação não é apenas um valor; é um passaporte para a vida sem dor e assim evitar o agravamento da doença e possíveis danos irreversíveis Lohrane.

Não temos filhos devido a esse problema que tem dificultado obter, e isso tem nos deixado muito triste.

Devolver a ela a alegria e a capacidade de planejar o futuro, ter filhos, trabalhar e, simplesmente, viver sem limitações.

Se você puder nos ajudar — seja com qualquer valor, por menor que seja, ou apenas compartilhando esta vaquinha com seus contatos — você fará uma diferença enorme em nossas vidas.

De coração, obrigado por ler nossa história e por nos ajudar a devolver a saúde para a Lohrane!

Você também pode contribuir via Pix usando a chave: 5785980@vakinha.com.br
Denunciar essa vaquinha
AVISO LEGAL: O texto e as imagens incluídos nessa página são de única e exclusiva responsabilidade do criador da vaquinha e não representam a opinião ou endosso da plataforma Vakinha.
Arrecadado
R$ 5,00
de R$ 19.000,00
Corações Recebidos
15
Apoiadores1
Outras histórias também precisam de você!