




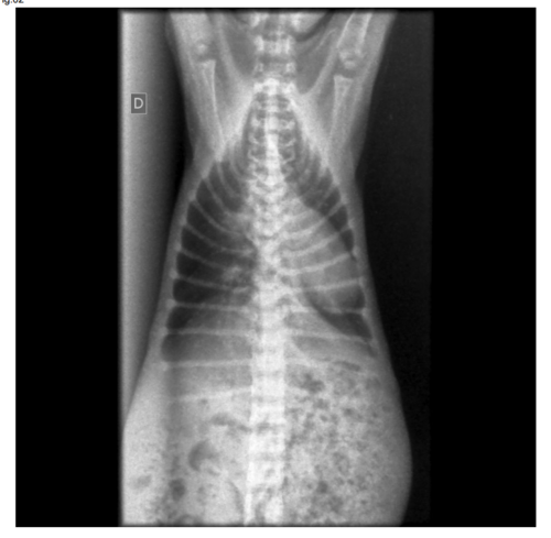
Meu nome é Bianca, estou criando essa vaquinha para poder inicialmente cobrir os exames do Jimin que tem apenas dois meses, e foi diagnosticado com uma doença rara chamada pectus excavatum. Preciso de ajuda com os custos dos exames e posteriormente com apoio para cirurgia, essa má formação congênita dificulta a respiração além do peito do animal ficar em formato de cone pressionando os órgãos do animal.Até o momento o quadro dele teve piora considerável e precisa de ajuda urgente com os exames para prosseguir com a cirurgia, qualquer valor ajuda.Segue imagens, e anexos do orçamento. Assim que tiver o custo da cirurgia compartilharei com vocês. Deus abençoe.