
Meu nome é Luiz Fernando do Nascimento Mozer.
Até pouco tempo atrás, minha vida era simples e cheia de coisas que eu amava: meu trabalho como colorista automotivo, o motocross por diversão, minha rotina.Nunca imaginei que tudo isso poderia ser arrancado de mim de uma hora pra outra.
No dia 07/12, eu estava em um evento de motocross, fazendo o que sempre fiz nesse esporte que amo: me divertindo.
Foi quando uma pessoa sem responsabilidade acabou jogando a moto em cima de mim.


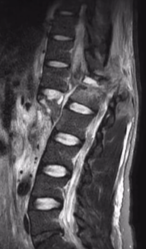
A moto foi direto nas minhas costas, causando a fratura da vértebra lombar L1.
Desde o momento em que caí no chão, ainda na pista, eu não sentia mais nada da cintura para baixo.Ali, minha vida mudou completamente — e desde então sigo internado.
No dia 11/12, passei por uma cirurgia de descompressão medular e estabilização da coluna, na tentativa de minimizar os danos causados pelo acidente.

Dois dias depois, em 13/12, fui agraciado por Deus sendo o primeiro paciente a receber a aplicação de polilaminina em uso compassivo, como parte do tratamento.Tenho muita fé e esperança de que, com o tratamento, a fisioterapia e o tempo, eu possa conquistar meus movimentos novamente.

Acreditei que ali começaria uma fase mais estável, mas no dia 25/12 enfrentei uma complicação cirúrgica grave: uma fístula liquórica, onde o líquor passou a se acumular nas minhas costas, trazendo novos riscos… essa complicação evoluiu para uma infecção hospitalar. Tudo isso resultou em reinternação — onde sigo até hoje.


Já faz mais de um mês que estou em uma cama de hospital.Sem ter culpa de nada.Aprendendo, todos os dias, a lidar com uma realidade que eu nunca escolhi.
Apesar de tudo, sigo lutando.Tenho sonhos.Tenho vontade de viver.E estou em busca do meu primeiro movimento, passo a passo, com muita fisioterapia e acompanhamento constante.
Os custos do tratamento são altos e contínuos. Infelizmente tive que ser transferido para um hospital com atendimento particular, pois meu caso se tornou delicado desde a complicação e precisava de um atendimento médico acompanhado por uma equipe de neurocirurgia.
O tratamento da fístula e da infecção, além de fazer fisioterapia, é essencial para qualquer chance de recuperação dos meus movimentos.
Criei essa vaquinha para seguir com o tratamento e custear a fisioterapia.
Qualquer ajuda faz diferença.Qualquer compartilhamento também.
Que Deus me dê forças para superar tudo isso e que a gente nunca esqueça de respeitar o próximo, porque a vida muda em um segundo.
Obrigado por estar aqui e por qualquer apoio.