Como ajudar
Descubra
Como funciona
Custear gastos ( cachorra atropelada)
Animais / Pets

Custear gastos ( cachorra atropelada)

ID: 5833952
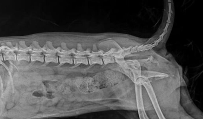
Eu sou a Dejane , minha cachorrinha foi atropela e estou fazendo essa vaquinha para custear os gastos ver tudo
Sobre
Atualizações
Quem ajudou
Vakinha Premiada
Selos recebidos
Perguntas e Respostas
Você pode ajudar via Pix usando a chave:
5833952@vakinha.com.brCopiar link
Vaquinha criada em: 03/12/2025

Eu sou a Dejane , minha cachorrinha foi atropela e estou fazendo essa vaquinha para custear os gastos

Você também pode contribuir via Pix usando a chave: 5833952@vakinha.com.br
Denunciar essa vaquinha
AVISO LEGAL: O texto e as imagens incluídos nessa página são de única e exclusiva responsabilidade do criador da vaquinha e não representam a opinião ou endosso da plataforma Vakinha.
Arrecadado
R$ 50,00
de R$ 3.980,00
Dê o primeiro coração
Comprar
Apoiadores1
Outras histórias também precisam de você!