
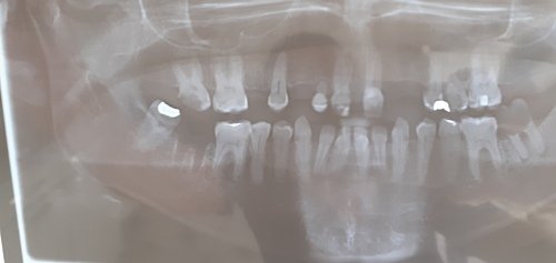
MEU NOME É SILVANA SOU MÃE DA TAMIRES QUE ESTÁ NO VÍDEO . A TAMIRES TEM 29 ANOS E 4 MESES, DEFICIENTE INTELECTUAL E EPILEPSIA , PRECISA DE FAZER IMPLANTE DE PRÓTESE FIXA DEVIDO CRISES CONVULSIVAS. ELA TEM AGENESIA, VÁRIOS DENTES COMPROMETIDOS QUE PRECISA EXTRAIR, ELA DIFICULDADE NA MASTIGAÇÃO, SENTE DOR AO COMER POIS TEM VÁRIOS SENSÍVEIS.
É DIREITO DO DEFICIENTE QUALQUER TIPO DE ATENDIMENTO NA ÁREA DA SAÚDE POIS ENTREI COM PROCESSO PELA DEFENSORIA PÚBLICA MAS O MUNICÍPIO NEGOU COMO SEMPRE. JA PROCUREI POR AJUDA AQUI EM FRANCA S.P VÁRIAS VEZES MAS SEM SUCESSO. POR ISSO ESTOU PEDINDO AJUDA PRA FAZER ESSA PRÓTESE QUE PASSA DE $ 20.000,00 ,NÃO TENHO CONDIÇÕES FINANCEIRAS PRA PAGAR ESSE PROCEDIMENTO. SE ALGUÉM PUDER CONTRIBUIR MESMO QUE SEJA UM POUQUINHO DE CADA PESSOA TENHO CERTEZA QUE CHEGAREMOS LA SE DEUS QUISER. AGRADEÇO À TODOS.
MORO NO LEPORACE 3,FRANCA S.P. SE ALGUÉM TIVER INTERESSE EM VE- LA,ESTA À DISPOSIÇÃO
PIX 162.122.028.18
TELEFONE 016 99243 9393
