Como ajudar
Descubra
Como funciona
Cirurgias da Mih (Retirada de Tumores na Parotida e Tireoide)
Saúde / Tratamentos
Taubaté / SP

Cirurgias da Mih (Retirada de Tumores na Parotida e Tireoide)

ID: 4231319
Estive por um ano em uma fila para retirada de um tumor na glandula parótida (salivar) e ela não aconteceu. Nos últimos 2 meses fui tomada por dores agudas e continuas que nenhum remédio ajuda, dificuldade de respirar, comer e dormir. Resol ver tudo
Sobre
Atualizações
Quem ajudou
Vakinha Premiada
Selos recebidos
Vaquinha criada em: 17/11/2023
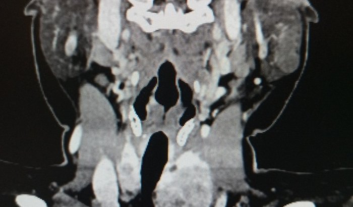
Estive por um ano em uma fila para retirada de um tumor na glandula parótida (salivar) e ela não aconteceu. Nos últimos 2 meses fui tomada por dores agudas e continuas que nenhum remédio ajuda, dificuldade de respirar, comer e dormir. Resolvi pedir meu prontuário médico e descobri que uma tomografia feita em janeiro já alertava que eu não tinha só um tumor, mas dois na glândula parótida e um bócio multinodular na tireóide que desviou minha traqueia que explica pq tudo tá tão difícil... mas esse diagnóstico foi omitido. Tamanha negligencia e descaso me levou a um estado preocupante e preciso de duas cirurgias delicadas pra remover esses tumores, inclusive preciso confirmar se sao benignos ou malignos. Nunca imaginamos ter uma urgência dessas, e, estamos tentando todas as formas pra chegar nesse valor, se vc pode ajudar com um real que seja, eu agradeço. 🙏
Tudo o que você precisa saber sobre o Vakinha
Denunciar essa vaquinha
AVISO LEGAL: O texto e as imagens incluídos nessa página são de única e exclusiva responsabilidade do criador da vaquinha e não representam a opinião ou endosso da plataforma Vakinha.
Arrecadado
R$ 11.908,00
de R$ 30.000,00
Corações Recebidos
98
Apoiadores105
Outras histórias também precisam de você!