
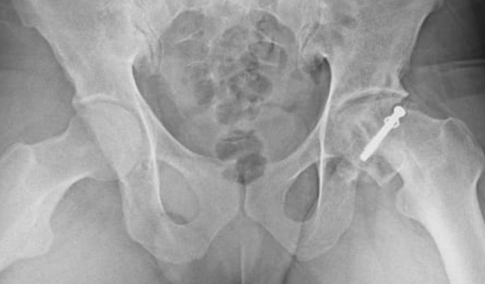
Oi meu nome e paula sou a mulher do William criei essa vakinha pra arrecadar dinheiro pq meu marido precisa fazer uma cirurgia com urgência e no sus n tem vaga a fila de espera e muito grande ele precisa substituir esse pino por uma protese com urgência ele tem dias q ele n consegui nem andar os remédio q ele toma n faz mais efeito e sao muito caros e ele n pode trabalha pq ele tem dores intensa eu trabalho porem temos 5 filhos e bem difícil mais faço oq poço. peço ajuda de vcs pra me ajudar pra ele esta podendo fazer essa cirurgia obg deus abençoe a vida de cada um .