
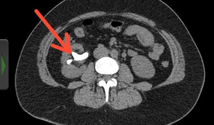
Eu sou a Mayra e criei esta vakinha para ajudar minha mãe, Tatiane, que desde 2018 sofre com um cálculo coraliforme no rim com presença de bactéria. Desde então, ela enfrenta: dores constantes e crises renais que a fizeram perder qualidade de vida; sangramento na urina e infecções urinárias frequentes; perda parcial da função do rim; e o mais preocupante: resistência bacteriana crescente, dificultando os tratamentos com antibióticos. Além disso, ela sofre com a impossibilidade de trabalhar por conta das dores intensas, e com a dificuldade de não conseguir levar minha irmã. que é autista, em todas as suas terapias diante das crises renais. Minha mãe está desde 2018 aguardando na fila do SUS para realizar a cirurgia, mas apesar da gravidade do quadro, hoje, em 2025, ainda não temos nem esperança dela ser chamada pelo SUS para realizar a cirurgia.
Buscamos a opção da vakinha, pois não temos como custear os gastos da cirurgia particular e, segundo os médicos, a única forma eficaz de tratamento é a remoção da pedra, pois ela abriga as bactérias que causam a infecção, podendo evoluir para sepse e morte. Os exames de urocultura já identificaram duas bactérias: Enterococcus faecalis e Klebsiella pneumoniae, ambas resistentes a diversos antibióticos. Segundo o critério de SWALIS, ela se encontra na categoria A1: risco potencial de progressão rápida da doença passível de causar uma disfunção grave, irreversível ou até mesmo óbito.
Por isso, precisamos muito da sua ajuda para custear a cirurgia e devolver qualidade de vida à minha mãe.Nesse link você pode acessar alguns exames e os papéis do orçamento:
https://drive.google.com/drive/folders/1WNT0R2uRwfgDn_iVGSj2cqvJan8SIHG7?usp=sharing
Qualquer contribuição faz toda a diferença! ❤️
🙏 Muito obrigada por ler até aqui e por todo apoio!