
Oi, tudo bem?
Estamos passando por um momento muito difícil como família e precisamos da sua ajuda.
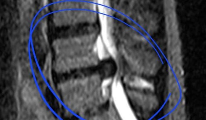
Tudo começou ainda na gravidez da minha esposa, quando o eu comecei com uma dor ciática. Com o tempo, essa dor evoluiu para um problema grave na coluna. Mesmo sentindo muita dor, continuei trabalhando todos os dias.
Tentamos vários tratamentos, fizemos exames e demos entrada pelo SUS. Aguardei 8 meses apenas para conseguir passar pela consulta. Quando finalmente fui atendido, o médico informou que o caso já estava grave e que não deveria ter esperado tanto tempo.
Hoje estou na fila da cirurgia pelo Estado, mas não há previsão de quando serei chamado. E infelizmente o quadro está piorando.
Já comecei a sentir formigamento no pé, não consigo segurar nosso bebê no colo e faz semanas que não consigo trabalhar por causa da dor.
Os médicos foram claros: não dá mais para esperar. Se houver mais demora, posso perder movimentos da perna.
Por isso, criamos essa vaquinha com a meta de R$ 36.000, para cobrir:
• cirurgia
• exames pré-operatórios
• consulta com anestesista
• medicamentos
• período de recuperação (ele é autônomo e ficará sem trabalhar)
• taxas da plataforma (aproximadamente 9% a 10%)
Somos autônomos e temos um bebê pequeno, e nesse momento só minha esposa está conseguindo trabalhar.
Se, com a ajuda de todos, o valor arrecadado ultrapassar o necessário para os custos médicos, o valor excedente será destinado a doações, como cestas básicas ou instituições.
Qualquer valor já faz uma grande diferença.
E se você não puder contribuir financeiramente, compartilhar essa campanha já nos ajuda muito.
Obrigada de coração por cada ajuda e por cada oração 🤍