
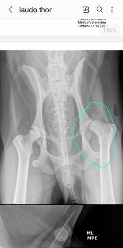
Eu me chamo Franciny e recentemente nosso cachorrinho Thor machucou a patinha e irá precisar de cirugia. O valor para gente é muito alto no momento e impossível de pagar, nosso cachorrinho está sentido muita dor e precisa dessa cirugia urgente. Por favor pessoal nos ajude com qualquer valor. 