
Olá, meu nome é Hanne.
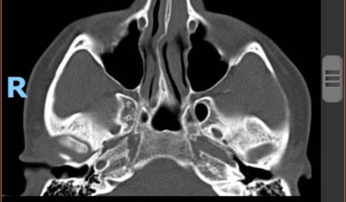
Recentemente passei por um episódio onde a pessoa veio de encontro e bateu acidentalmente a cabeça no meu rosto, e o impacto foi tão forte que caí quase inconsciente. Meu nariz ficou fraturado em vários pontos, e agora preciso de uma cirurgia em até 15 dias, antes que o osso cicatrize errado.
Mesmo com fratura, os médicos explicaram que eu preciso de cirurgia em até 15 dias, antes que o osso cicatrize torto e eu tenha que conviver com dor, dificuldade para respirar e uma futura cirurgia muito mais complicada.Infelizmente, o SUS não está priorizando casos assim no fim do ano, pois muitos médicos entram de férias eu corro o risco de ter que conviver com dor, dificuldade para respirar e esperar meses por uma cirurgia que deveria ser imediata.
(e pra eles não é uma cirurgia de extrema urgencia ja que o osso mesmo torto vai se colar sozinho ) e isso fará com que eu perca o prazo crítico da intervenção cirurgica pra recuperação!
Por isso, eu peço sua ajuda.
Qualquer valor fará diferença para que eu consiga operar a tempo e evitar sequelas.
Se não puder doar, por favor, compartilhe.
De coração, muito obrigada e que Deus abençoe🙏❤️