
CIRURGIA URGENTE
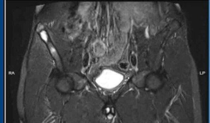
Meu marido foi diagnosticado com Osteoma Osteoide, um tumor ósseo benigno, mas que a mais de um mês vem nos dando muita dor de cabeça.
Acontece que o tumor cresceu, e desde então meu marido não consegue caminhar, trabalhar e sente dores fortes 24 horas por dia, mesmo fazendo o uso de vários medicamentos.
Nos foi indicado fazer a cirurgia o quanto antes, obviamente antes de tudo optamos pelo SUS, mas o prazo da cirurgia é um ABSURDO. (Nos deram prazo de 20 dias somente para assinar um papel, e depois de ser assinado e encaminhado, poderia levar mais alguns meses).
Então, o orçamento da cirurgia no particular foi:
Médico cobra 8 a 10 mil a cirurgia
E o hospital com leito, e etc 11 mil.
Vou deixar fotos dos laudos e encaminhamentos.
Desde já agradeço a todos e peço orações, pois estamos passando por um momento difícil.