


Oi, pessoal.
Essa é a Mila, uma cachorrinha de rua que eu encontrei dias depois de ter sido atropelada. Mesmo machucada, ela ainda estava na rua, sentindo dor e precisando de ajuda. Eu não consegui virar as costas e resolvi resgatá-la.
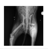
Desde então, estou cuidando dela com todo carinho. Quando a peguei, a Mila estava com bicheira na perna, mas assim que percebi, tratei imediatamente. Com a ajuda de uma veterinária, fizemos o raio-x e descobrimos que ela está com o fêmur quebrado.
Infelizmente, a Mila precisa passar por uma cirurgia ortopédica, e o valor é alto. Eu não tenho condições financeiras de arcar sozinha com esse custo, mas também não consigo desistir dela. A única chance da Mila voltar a andar normalmente e não sentir mais dor é realizando essa cirurgia.
Por isso, criei essa Vakinha. Qualquer ajuda, seja com doação ou compartilhando, já faz muita diferença. A Mila merece uma vida sem dor e com dignidade. Obrigada de coração a todos que puderem ajudar 💛🐾




