
Uma coluna pra Vá
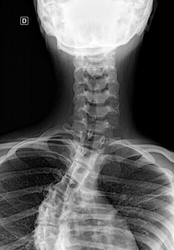
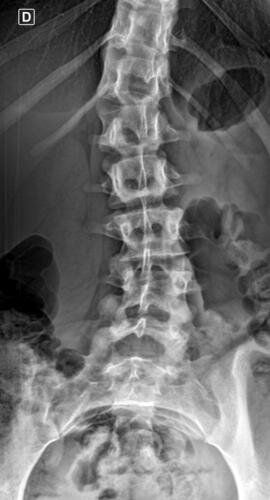
A Vá tem 13 anos e precisa urgentemente realizar uma cirurgia na coluna.Valentina foi surpreendida com o diagnóstico de escoliose hepática grave com 67 graus de desvio (desvio longitudinal da coluna), e precisa realizar com urgência a cirurgia corretiva, os exames foram realizados em Porto Alegre, mas a cirurgia está marcada para dia 13/07 em São Paulo devido a gravidade do caso, para isso a família terá que ficar residindo próximo ao hospital em São Paulo por no mínimo 30 dias para uma plena recuperação. Sabemos bem que qualquer procedimento cirúrgico é delicado, na coluna então nem se fala.Após o diagnóstico e o prognostico dessa doença a família se desfez de alguns bens (carro e moto) para cumprir os prazos dos exames e consultas, necessitando agora arrecadar o valor para a estadia da pequena Valentina e seu pós operatório (medicação, consultas e fisioterapia).
Hospedagem R$ 12.000,00
Alimentação R$ 8.000,00
Remedio R$ 1.200,00
Consultas R$ 1.500,00
Fisioterapia R$ 4.500,00
Deslocamento R$ 3.000,00
Exames R$ 3.800,00
Em anexo os exames (laudo e imagens) para expressas a gravidade do caso.



















