
Foi no ano de 2016 quando minha irmã Gisele começou a sentir um incômodo no olho direito, o olho coçava muito, e estava com uma irritação. De início, parecia alergia. Ela até suspendeu o uso de cosméticos para área dos olhos.
Como a irritação não passava, resolveu ir no oftalmologista, pra consultar aquela suposta "alergia". Então o profissional diagnosticou que não se tratava de alergia, mas sim de um tumor, sem dar muitas especificações. Todos ficamos sem chão, não sabíamos o que fazer, nem qual médico procurar.
De início, foi se consultar com um oncologista, mas este médico, após examiná-la, constatou que se trata de um tumor raro, e que ele não teria capacidade de realizar a cirurgia, e que ninguém da região estaria apto a resolver. Afirmou que a cirurgia podia ser feita somente em centro médico grande, com equipamentos de última geração, e até devolveu o dinheiro da consulta.
No entanto, mesmo sabendo do diagnóstico, como ela tinha o sonho de se tornar mãe, resolveu engravidar antes de passar pela cirurgia. Porém, durante a gestação, o tumor continuava crescendo, e empurrando o olho para fora. Até que um certo dia, no final da gestação, o tumor empurrou o olho de tal modo que acabou comprimindo o nervo óptico, lhe causando a cegueira do olho direito.
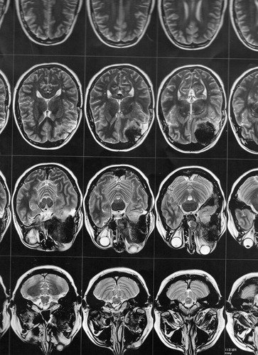
1 ano e 7 meses após o nascimento da Manuela (hoje com quase 4 anos), mais precisamente em dezembro de 2018, Gisele foi em busca de um neurocirurgião que estivesse apto a realizar a cirurgia. Optou-se por um médico da região, pela facilidade de locomoção. Por sua vez, por meio de exames de imagem, este médico a diagnosticou com um meningioma intraósseo (tumor cerebral benigno que se origina nas células das meninges).
Em fevereiro de 2019 passou pela primeira cirurgia de retirada do meningioma. Tudo correu bem, sem sequelas. No entanto, teve uma parte do osso (medindo 7,5 x 6 x 2 cm) em sua cabeça que teve que ser retirado e não pôde ser colocado novamente, pois o tumor estava enraizado naquela região, e eram grandes as chances de reincidência. Após a cirurgia, foi enviado para análise a amostra do tumor, que confirmou, de fato, se tratar de um tumor benigno.
Em seguida, o neurocirurgião solicitou que após um ano Gisele retornasse para fazer nova cirurgia para implantar uma prótese na parte óssea que foi retirada. Porém não foi feito o retorno, pois no ano de 2020 teve início a pandemia do Coronavírus no Brasil. Também não foi realizado o acompanhamento médico periódico, por pensar que estaria tudo bem.
Até que em dezembro de 2021 resolveu procurar outro profissional para avaliar a situação, pois o olho ainda estava saltado, e ela sentia muito incômodo, como coceira e lacrimejamento.
Então este médico solicitou exames de imagem (ressonância magnética e tomografia) para avaliar a situação, os quais foi constatado que o meningioma ainda está ali, e que continua empurrando o olho e se expandindo para outras áreas. Trata-se de um meningioma gigante (medindo 6 x 6,6 x 6 cm), que está localizado na placa do assoalho da fossa média e anterior.
Este outro profissional também disse que se tratava de um caso raro, e que ele não conseguiria resolver, afirmando que só existe um médico no Brasil que seria capaz de realizar a cirurgia dela com êxito. Então a encaminhou para o Dr. Feres Chaddad, referência nacional e internacional no campo da microcirurgia neurológica. Seu consultório se localiza em São Paulo/SP – que fica a mais de 900 km de distância de onde moramos.
A cirurgia deverá ser feita de urgência, pois o meningioma continua se expandindo, e pode comprimir o olho esquerdo afetando a visão que lhe resta. Também pode comprimir outras partes do cérebro, ou pior ainda, causar a morte.
Enquanto esperávamos a liberação da cirurgia, recebemos a notícia de que será necessário realizar dois procedimentos cirúrgicos, um para retirada do tumor, e o segundo para realocar o olho para seu lugar e implantar a prótese onde o osso foi retirado.
Ela possui plano de saúde, o qual cobre os gastos com internação, por outro lado, o pagamento da equipe médica (4 profissionais de confiança, mais o Dr. Feres) deverá ser feito no particular, além de demais despesas extras, como locomoção.
Agradecemos de coração a todos que estão contribuindo. Pedimos principalmente muita oração e muita energia positiva, para que Deus guie a mão deste medico maravilhoso, e que faça tudo se concretizar da melhor maneira possível. No momento ainda não temos a data da cirurgia, mas assim que tivermos a data, compartilharemos com todos. ❤️
Gratidão a todos que apoiaram a nossa vakinha!
Comunico que ela será encerrada, pois já alcançamos a meta para a primeira cirurgia que ela irá realizar!
Ainda estamos sem a data da cirurgia, mas quando tivermos, iremos compartilhar no facebook Rafaela Barboza ou no instagram rafaelabarboza1.






