
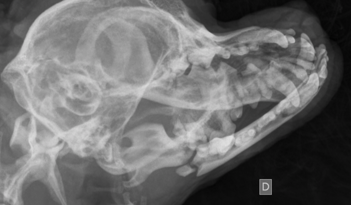
Meu nome é Leandro e sou o tutor de um animal de estimação que infelizmente sofreu um acidente e teve a mandíbula lesionada. É uma lesão grave que requer uma cirurgia urgente para corrigir o problema.
Desde que o acidente ocorreu, tenho buscado por opções acessíveis para realizar a cirurgia. Entrei em contato com várias faculdades da região, na esperança de encontrar uma solução mais econômica, mas infelizmente nenhuma delas oferece o procedimento a um preço que eu possa pagar.
A dor que meu animal de estimação está sentindo é evidente e me preocupa muito. É por isso que decidi criar essa vaquinha, uma campanha de arrecadação de fundos, na esperança de conseguir o valor necessário para cobrir os custos da cirurgia.
Agradeço do fundo do meu coração a todos que puderem ajudar de alguma forma, seja fazendo uma doação ou compartilhando essa campanha com outras pessoas. Cada contribuição conta e será extremamente valiosa para o bem-estar do meu pet.
Se tiver alguma dúvida específica ou se quiser saber mais detalhes sobre a situação, fique à vontade para perguntar. Agradeço novamente por seu interesse e apoio!

