
ME AJUDEM!!



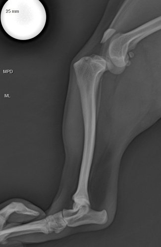
Olá Aumigos! Minha cachorrinha vai precisar passar por uma cirurgia de luxação de patela + ruptura de ligamento Desde o dia 13/07/2024, minha cachorrinha começou a mancar então levamos ela ao veterinário no qual doi diagnóstico clinicamente é comprovado pelos exames esse problema na patela. 😭
Infelizmente essa cirurgia tem um preço elevado, não temos todo o valor, então peço encarecidamente quem puder contribuir com qualquer valor, ficarei extremamente grato. Espero de alguma forma pode agradecer cada um que puder contribuir independente do valor
Ela faz parte da nossa família desde 2018, ela sempre foi uma cachorrinha que recebeu muito amor e carinho, iremos cuidar dela com todo amor
A vida é melhor com um amigo de quatro patas. Ajudem a salvar minha pequena ❤️🥹😭
Qualquer contribuição será de grande ajuda. Se não puder ajudar financeiramente, por favor, compartilhe esta mensagem.
TPLO Modificada R$ 3,100,00
Anestesia R$ 560,00
Kit Cirúrgico Fenestrado R$400,00
Roupa Cirurgica R$ 61,00
Internação R$ 395,00
Taxa Veterinário Auxiliar R$ 500,00
Kit Placa TPLO + Parafuso Focus R$ 540,00
Raio X Controle Ortopedico R$ 100,00
Exames pré operatório : Perfil Exames Asa 2 R$ 230,00
Ecodopplercardiograma R$ 225,00
EletroCardiograma R$ 160,00
Tomografia R$ 1340,00

