
Nossa Nymeria estava brincando de correr como sempre fazia com a sua mamãe, e de repente começou a chorar muito e ficou imobilizada.
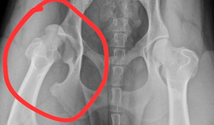
Levamos no veterinário fizemos o raio x e o laudo deu luxação, seu lado direito ta fora do lugar.
Para poder voltar a brincar como antes ela precisa passar por uma cirurgia.