Como ajudar
Descubra
Como funciona
Cirurgia do Tatu
Animais / Pets
São José do Rio Preto / SP

Cirurgia do Tatu

ID: 4954804
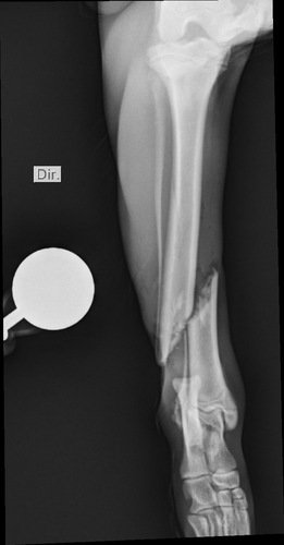
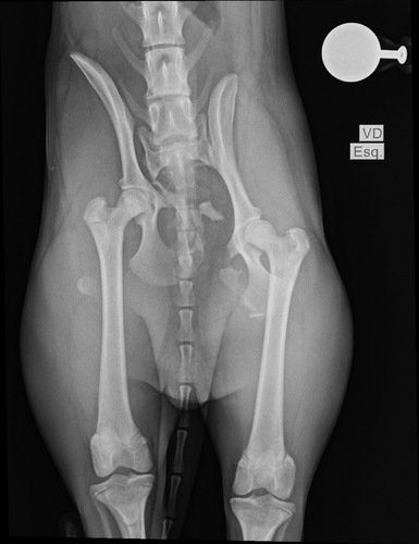
Tatu fugiu e foi atropelado, o motorista fugiu e não prestou socorro, ele teve 3 fraturas e terá que a realizar 3 cirurgias, fora exames e a internação na clínica  ver tudo
Sobre
Atualizações
Quem ajudou
Vakinha Premiada
Selos recebidos
Vaquinha criada em: 13/07/2024

Tatu fugiu e foi atropelado, o motorista fugiu e não prestou socorro, ele teve 3 fraturas e terá que a realizar 3 cirurgias, fora exames e a internação na clínica 

Tudo o que você precisa saber sobre o Vakinha
Arrecadado
R$ 550,00
de R$ 4.000,00
Corações Recebidos
18
Apoiadores10
Esta vaquinha possui uma equipe
Ver equipe
Os integrantes da equipe auxiliam Pagnozzi a divulgar a vaquinha, postar atualizações e agradecer doadores.
AVISO LEGAL: O texto e as imagens incluídos nessa página são de única e exclusiva responsabilidade do criador da vaquinha e não representam a opinião ou endosso da plataforma Vakinha.