
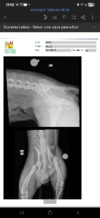
Olá, pessoal! Venho aqui pedir a ajuda de vocês para o Spike, o cachorro do meu pai, que foi atropelado por um motorista que fugiu. Mesmo sentindo muita dor, ele se arrastou até nossa casa em busca de socorro. Nos exames, o veterinário confirmou que ele fraturou seu quadril em 3 partes.
O médico veterinário explicou que o procedimento completo — cirurgia, medicamentos, exames e internação — terá um custo de R$ 5.800. Infelizmente, não conseguimos arcar com esse valor sozinhos.
Por isso, contamos com a solidariedade de todos. Contribuições de qualquer valor faz uma enorme diferença para que o Spike possa passar pela cirurgia e receber os cuidados pós-operatórios essenciais.

O Spike é muito mais do que um pet: é amigo, companheiro e parte da família. Ver o sofrimento dele preocupa e emociona a todos nós, mas acreditamos que, juntos, podemos oferecer a ele uma segunda chance e qualidade de vida.
Se puder ajudar, compartilhe esta campanha ou faça sua doação. Agradecemos, de coração, cada gesto de carinho e apoio!