Como ajudar
Descubra
Como funciona
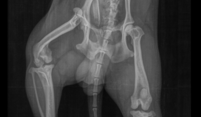
CIRURGIA DO JUSTIN PERNA QUEBRADA
Saúde / Tratamentos
Barretos / SP

CIRURGIA DO JUSTIN PERNA QUEBRADA

ID: 4692481
Eu sou Kevin , Venho arrecadar o valor de R$ 1.900,00 Reais , Para fazer a cirurgia da perna quebrada do Justin , Ele está sentindo muita dor .Agradeço a todos. ver tudo
Sobre
Atualizações
Quem ajudou
Vakinha Premiada
Selos recebidos
Vaquinha criada em: 24/04/2024

Eu sou Kevin , Venho arrecadar o valor de R$ 1.900,00 Reais , Para fazer a cirurgia da perna quebrada do Justin , Ele está sentindo muita dor .Agradeço a todos.

Tudo o que você precisa saber sobre o Vakinha
Arrecadado
R$ 0,00
de R$ 1.900,00
Dê o primeiro coração
Comprar
Apoiadores0
AVISO LEGAL: O texto e as imagens incluídos nessa página são de única e exclusiva responsabilidade do criador da vaquinha e não representam a opinião ou endosso da plataforma Vakinha.