



Eu sou o Heros, tenho 2 aninhos!
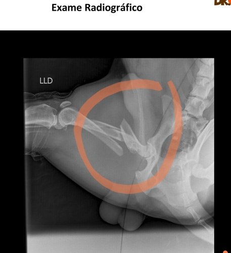
Fui atropelado no dia 17/07. Passei por duas cirurgias. Tive várias fraturas no fêmur e na região pélvica, estou anêmico e com alteração no fígado.
Minha cirurgia ficou em torno de R$ 3.000,00(somente a cirugia) e com a ajuda da família e dos amigos consegui fazer as duas, mas agora estou em processo de recuperação e os gastos estão bem altos (exames semanais, internações, muitos medicamentos e fisioterapia) meus papais estão precisando de ajuda para manter todos esses gastos para que eu consiga ter sucesso na minha recuperação.
Quem puder ajudar, qualquer contribuição será muito bem vinda.
Muitas lambidas de agradecimento 🐾🐶