
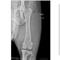
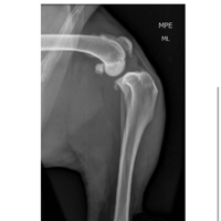
Olá pessoal me chamo Aline, e sou a dona do Blake um American bully de 3 anos que rompeu o ligamento das duas patas, onde é necessário uma cirurgia, o mesmo foi encaminhado a um hospital veterinário público, porém como a cirurgia é de grande porte e custo o governo não libera esse procedimento, sendo assim somente pode ser realizado em clínicas particulares, e eu no momento não tenho condições de arca com esse valor todo, quem puder estar ajudando com 1 real que seja já é de grande ajuda, vamos ajudar ele a fazer essa cirurgia e ficar bem, des de já agradeço a todos.













