
Olá!
Eu sou o Rafael Pires, tenho 37 anos. Sou de Americana, interior de São Paulo.
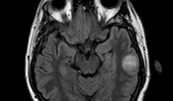
No dia 13 de dezembro tive uma convulsão. Fui encaminhado para o hospital, onde realizei exames de Tomografia e Ressonância Magnética. Após a investigação descobrimos que a convulsão foi causada por um Tumor cerebral na área esquerda, próximo a área da fala. Por conta disso, o procedimento cirúrgico que preciso realizar deve ser feito acordado e com urgência, o que justifica o alto custo da cirurgia.
Conto com a ajuda de vocês para que o procedimento seja realizado ainda este mês, pois ainda não sabemos se o tumor é agressivo ou não.
Desde já agradeço a colaboração de todos vocês !!!