
Oi eu sou o Bad, sou doguinho srd de quatro anos e recentemente fui diagnosticado com um tumor maligno e preciso fazer uma cirurgia para remover o tumor e parte do meu intestino que foi afetado.
Minha mamãe está fazendo tudo que pode me ajudar desde o dia 10/02 que foi quando eu tive os primeiros sintomas e desde então minha mamãe não está dormindo direito porque preciso ficar em observação constante, com vários medicamentos em vários horários diferentes.
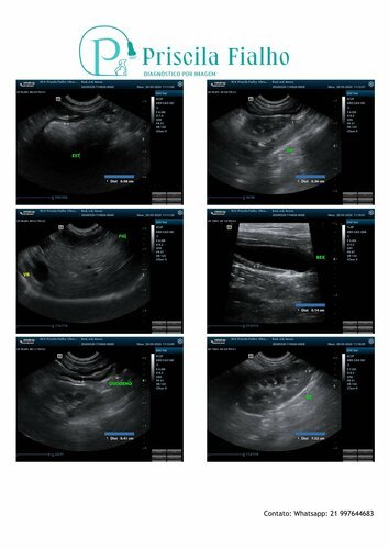
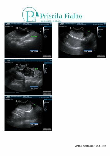
Minha mamãe deixou o orçamento juntamente com o exame de imagem para quem quiser ter certeza dos valores. Se o pagamento for a vista a cirurgia fica bem mais em conta, porém vou precisar de mais medicamentos além de uma alimentação especial após o procedimento e por isso toda ajuda será aceita.
Caso queiram falar com a minha mamãe pode enviar mensagem que ela responde sem nenhum problema e se preferir pode doar qualquer valor e colocar a descrição vakinha pa ra a chave pix no QR Code que a mamãe também deixou disponível.







Oi eu sou o Bad, sou doguinho srd de quatro anos e recentemente fui diagnosticado com um tumor maligno e preciso fazer uma cirurgia para remover o tumor e parte do meu intestino que foi afetado.
Minha mamãe está fazendo tudo que pode me ajudar desde o dia 10/02 que foi quando eu tive os primeiros sintomas e desde então minha mamãe não está dormindo direito porque preciso ficar em observação constante, com vários medicamentos em vários horários diferentes.
Minha mamãe deixou o orçamento juntamente com o exame de imagem para quem quiser ter certeza dos valores. Se o pagamento for a vista a cirurgia fica bem mais em conta, porém vou precisar de mais medicamentos além de uma alimentação especial após o procedimento e por isso toda ajuda será aceita.
Caso queiram falar com a minha mamãe pode enviar mensagem que ela responde sem nenhum problema e se preferir pode doar qualquer valor e colocar a descrição vakinha pa ra a chave pix no QR Code que a mamãe também deixou disponível.