
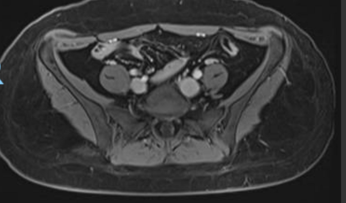
Eu sou Ana Beatriz, 32 anos, Carioca, mãe do Davi de 15 anos. A 1 mês descobri um tumor borderline, e desde então tenho tentado pelo sus a remoção deste tumor no ovário esquerdo, pois é indicado a cirurgia devido o crescimento rápido desse tumor e a preocupação dos órgão que ele está comprimindo. Devido a demora que será no SUS, não posso esperar segundo orientação médica, terei que fazer particular, e o total hoje é R$20.800,00, podendo ultrapassar caso na Biópsia na hora da cirurgia, seja constatado malignidade. Constatado benignidade, a cirurgia se encerra e somente o pós operatório fica. Saúde não se mede em real, mas foi uma surpresa assustadora, que chegou e não tenho opção de não fazer, ou ficar esperando. Deus abençoe sua vida, e sua contribuição.