
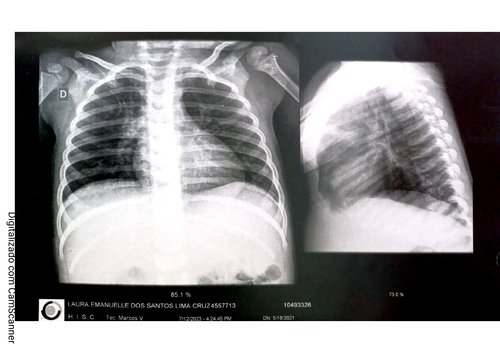
Eu sou a Hellen e criei essa vaquinha para ajudar à Laura Emanuelle, neta de um amigo, Arineu. A Laura tem dois aninhos e sofre com estreitamento do canal respiratório e glândulas aumentadas, causando obstrução nasal. Ela precisa passar por uma cirurgia chamada adenoidectomia, no valor de 12.000 reais, para conseguir respirar normalmente. A mãe deixou o emprego para cuidar da Laura, que tem uma saúde frágil devido à sua condição.
Seguem abaixos exames e comprovantes do estado médico da Laurinha:





