
Oi, tudo bem?
Peço ajuda a todos que conheço, e também a quem não conheço, porque minha cadelinha Zaira está sofrendo, precisando de uma cirurgia que não posso pagar.
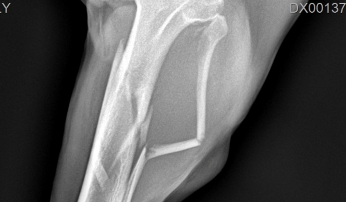
Ela caiu e teve múltiplas fraturas na patinha.A cirurgia que ela precisa, custa R$ 3.160,00, e é urgente.
Já gastei 280,00 de radiografia + 190,00 de consulta + medicação.
Estou pedindo ajuda para dar o tratamento que ela necessita.
Qq valor já ajuda.
Peço também que compartilhe, por favor, pois estou aflito pela situação dela.
Muito obrigado por todo o suporte.
Pix 21971905157