
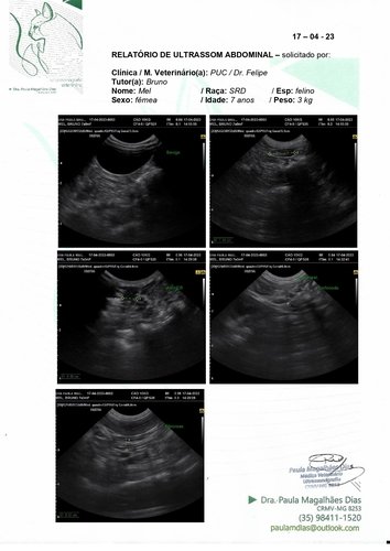
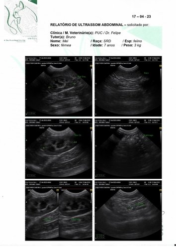
Olá, meu nome é Mel tenho 7 aninhos e peso 3kg (sim, sou bem pequinininha pra minha idade e comparado ao meu irmão de ninhada). Eu e meu maninho Cheetos fomos adotados pelo meu papai Bruno quando nossa antiga tutora faleceu. Nós ja tinhamos 2 aninhos na época, e nunca degrudamos um do outro nesses anos todos. Desde quando meu papai nos acolheu tínhamos que ficar separado da nossa irmã mais velha porque eu sempre fiz meu xixizinho em todo lugar que eu vejo, não faço na caixa de areia e nem mesmo cubro quando decido fazer lá. Mas nunca faltou carinho e amor independente de tudo. Recentemente papai e mamãe decidiram me levar no veterinario para ver o que seria esse problema de xixi em todo lugar, o doutor pediu ultrassom e infelizmente descobrimos a princípio um tumor bem grande perto da bexiga (o qual poderia ter deslocado minha bexiguinha e talvez possa explicar algumas coisas). O doutor disse que teríamos que fazer uma tomografia em outro estado pois onde moramos não tem, e pelas contas dos meus papais ia ficar mais de R$2000,00 fora a cirurgia ><. Mas o doutor disse que podemos ir direto pra cirurgia pra tentar solucionar e não alastrar mais o tumor. Quando chegamos para a cirurgia nao pude fazer por ter fugido do jejum porem me pediram pra refazer os exames e nisso apareceu que o que era um tumor parecia mais uma castração mal feita que tinha deixado partes do ovario e tava causando infecções. Meus papais vieram pedir ajuda pois a cirurgia vai ficar cara fora os medicamentos.
Vamos anexar aqui todas fotos, exame e valor da cirurgia! Qualquer ajuda é bem vinda e contamos com vocês pra logo logo eu ficar bem de novo e poder ficar grudada brincando com meus irmãozinhos!! <3








