
Fala pessoal, encontrei a Gatona desnutrida e com dificuldades para respirar, porque um carro passou em movimento e jogou ela pela janela, ficando vários dias mal sem nem conseguir comer direito, encontrei-a em Barra do Garças, Mato Grosso, me chamo Thiago, tenho 22 anos, sou caminhoneiro.
Para quem quiser acompanhar tem um destaque da Gatona Instagram: @thiago_barcelloss
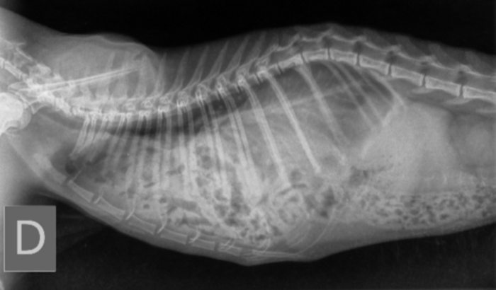
Ela ficou uns dias viajando comigo no caminhão até eu chegar em casa e levar ela no veterinário, depois da consulta e fazer um raio X descobrimos que ela tem Hérnia Diafragmática. Se ela não fizer a cirurgia ela tem de 6 a 12 meses de vida, se fizer tem pouca chance de sobreviver, mas de qualquer forma se deixar ela vai piorando até falecer.
Ela é uma boa companheira, muito quieta e mansinha, gostaria da ajuda de vocês para tentar, por menos que sejam as chances, com fé pode dar certo!