



🐾 Ajude a Belinha a Voltar a Andar! 🐾
A Belinha, uma cachorrinha de 13 anos, cheia de amor para dar, foi vítima de um atropelamento. Agora, ela precisa urgentemente de uma cirurgia para consertar uma fratura grave e poder voltar a ter uma vida digna, sem dor.
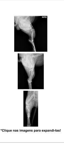
O Diagnóstico e a Urgência
O laudo do exame radiográfico (raio-x) da Belinha é claro:
Fratura Cominutiva da Tíbia Direita: O osso da pata direita quebrou em múltiplos fragmentos, o que é muito doloroso e exige uma intervenção cirúrgica imediata para realinhar os ossos e permitir a cicatrização.
Fratura da Fíbula Direita: O osso menor da mesma pata também está fraturado.
Aumento de Volume (Edema): Há inchaço e sinais de reação inflamatória no local, indicando o sofrimento da Belinha.
Ela é uma idosinha, tem 13 anos. Cada dia que passa com essa fratura é um dia de dor intensa e sofrimento que ela não merece.
💰 O que precisamos arrecadar?
Não tenho condições financeiras para arcar com os custos de um procedimento tão complexo. Com a ajuda da minha prima, que está me dando todo o suporte, levantamos os valores iniciais e a meta é de R$ 3.000,00 (três mil reais), que cobrirá:
Cirurgia Ortopédica: (O cirurgião orçamentou R$ 1.800,00 como base, dependendo do caso, a consulta de avaliação é necessária)
Anestesia: (Orçamento de R$ 400,00, variando conforme o peso e risco da paciente)
Materiais cirúrgicos
Consulta de Avaliação com o Ortopedista que fará a cirurgia (Dr. Paulo): R$ 200,00
Cuidados Pós-Operatórios e medicamentos iniciais.
A Belinha está lutando, mas precisamos ser a força que ela não tem agora.
💔 Faça a sua doação e salve a Belinha
Qualquer quantia, por menor que seja, nos ajudará a alcançar a meta e garantir que a Belinha receba a cirurgia que lhe devolverá o conforto e a chance de andar novamente.